
Supplier:
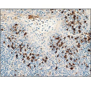
DB BIOTECHHuman Lambda light chain (DB 039)
Human immunoglobulin lambda light chain concentrations are importantly elevated in B cellrelated malignancies with important quantities detectable in serum and urine samples.
Prices direct from DB BIOTECH
Quick response times
Exclusive Biosave savings/discounts
More from DB BIOTECH
Latest promotions
Spend less time on DNA cleanup so you can do more science. The MSB Spin PCRapace is the fastest way to purify your DNA from PCR, restriction digestion, and...
New brilliant antibodies, and new lower prices!For flow cytometry reagents in general, \"bright is better.\" The violet-excitable BD Horizon™ BV421 and...
As an incentive to qualify our BSA, we are offering a 20% discount when you purchase your first 100g, 500g or 1000g of any grade of Bovine Serum Albumin....
It is not every day that you are given something for nothing. We are giving away additional spectrophotometer software.Cecil Instruments have enhanced the...
We're so sure that you'll prefer Cayman Assay kits over your present brand that we're willing to give you a free assay kit to prove it!
10% Discount on 2 Rabbit Polyclonal Antibody Service. With over 20 years experience, SDIX has developed into the premier US custom antibody producer,...
For the past decade scientists have extensively used ATS secondary toxin conjugates to make their own targeted toxins for in vitro use.The ability to combine...
Did your supplier increase the price of Fetal Bovine Serum? Did they substitute the US Origin with USDA? Well say no more! Innovative Research is still...
Bulk Cytokines with Custom Vialing.20 - 50% off cytokines, growth factors, chemokines and more...For a limited time Cell Sciences is offering substantial...
Jenway’s 73 series spectrophotometer range provides four models with a narrow spectral bandwidth of 5nm and an absorbance range of –0.3 to 2.5A,...
Are you planning to have a customised antibody made for your research?Since 2000, Everest has been producing a catalog containing thousands of affinity...
Top suppliers
United States Biological
230753 products
Carl Zeiss Microscopy
27 products
Promega Corporation
11 products
Panasonic Healthcare Company
5 products
Life Technologies
1 products
Nikon Instruments Europe
11 products
Olympus Europa Holding GmbH
3 products
Leica Microsystems, Inc.
10 products
GE Healthcare Life Sciences
2 products
Tecan Trading AG
19 products
Beckman Coulter, Inc.
1 products
AB SCIEX
3 products
BD (Becton, Dickinson and Company)
1 products
RANDOX TOXICOLOGY
5 products
Randox Food Diagnostics
6 products


























