Antibodies-online
antibodies-online.com was founded in 2006 from scientists and economists as a spin-off from RWTH Aachen University in Germany.
antibodies-online.com facilitates researchers to find the appropriate antibodies for their respective research project. As an independent and multi-vendor marketplace for research antibodies and thanks to the cooperation with more than 130 different manufacturers, a large selection of Antibodies (over 700,000), ELISA Kits (over 130,000), Secondary Antibodies (17,000), Proteins (130,000), Peptides and Isotype Controls is available.
By supporting the Independent Validation Initiative and the Resource Identification Initiative, antibodies-online.com also addresses the important topics of transparent product quality and scientific reproducibility. In addition scientists receive news and detailed information about the individual antibodies from databases such as the PubMed and others.
antibodies-online.com facilitates researchers to find the appropriate antibodies for their respective research project. As an independent and multi-vendor marketplace for research antibodies and thanks to the cooperation with more than 130 different manufacturers, a large selection of Antibodies (over 700,000), ELISA Kits (over 130,000), Secondary Antibodies (17,000), Proteins (130,000), Peptides and Isotype Controls is available.
By supporting the Independent Validation Initiative and the Resource Identification Initiative, antibodies-online.com also addresses the important topics of transparent product quality and scientific reproducibility. In addition scientists receive news and detailed information about the individual antibodies from databases such as the PubMed and others.
Showing 24 of 96968 results
Product A-Z
Applications
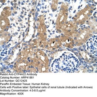
IHC, IHC-F, WB
Hosts
Rabbit
Reactivities
Hum, Mouse, Rat, Bov, Can, GP, Prc

Explore our products
Show all categoriesC
Top suppliers
United States Biological
230753 products
Carl Zeiss Microscopy
27 products
Promega Corporation
11 products
Panasonic Healthcare Company
5 products
Life Technologies
1 products
Nikon Instruments Europe
11 products
Olympus Europa Holding GmbH
3 products
Leica Microsystems, Inc.
10 products
GE Healthcare Life Sciences
2 products
Tecan Trading AG
19 products
Beckman Coulter, Inc.
1 products
AB SCIEX
3 products
BD (Becton, Dickinson and Company)
1 products
RANDOX TOXICOLOGY
5 products
Randox Food Diagnostics
6 products



















